Everyday except friday from 2 PM - 8 PM
Al-Sindibad Center
Expert dental care with advanced technology in Baghdad.
Welcome to
Al-Sindibad Clinics
We are a specialized center offering a wide range of dental treatments, maxillofacial surgeries, Veneers, and more. We are pleased to provide our services to clients daily, except on Fridays. Since 2022.
Services
Expert dental care for your perfect smile.


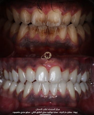
Veneers
Transform your smile with custom dental veneers.
Implants
Restore your confidence with our dental implants.


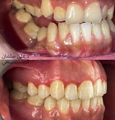
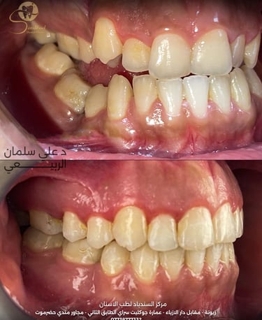
Orthodontics
Align your smile with Orthodontic and Invisalign


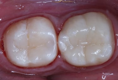
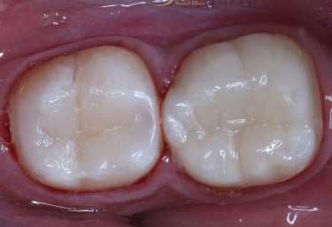
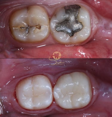
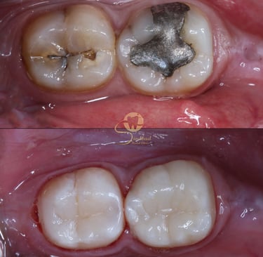
Fillings
Restore your normal tooth shape


Guided-Biofilm Therapy
clean your teeth with #1 dental technology


Gallery
Explore our dental transformations










