Everyday except friday from 2 PM - 8 PM
Endodontics
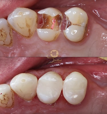
Endodontics focuses on treating the inner part of the tooth when the nerve becomes infected or inflamed. Root canal treatment removes the infection, relieves pain, and saves the natural tooth. With modern techniques, the procedure is comfortable, efficient, and helps preserve your smile for the long term.








