Everyday except friday from 2 PM - 8 PM
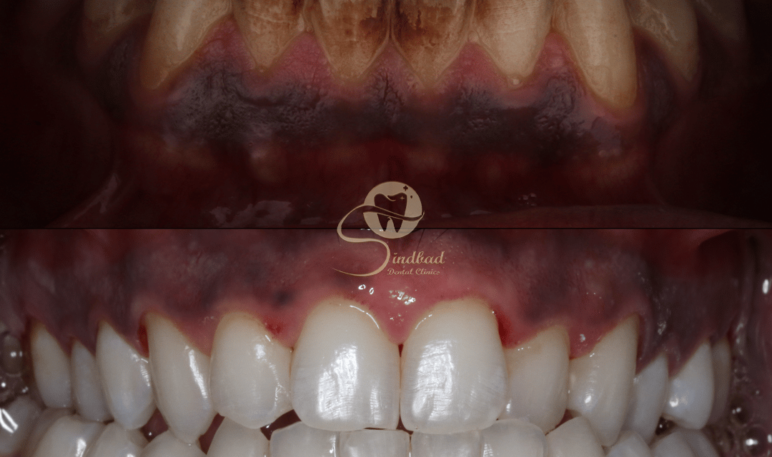
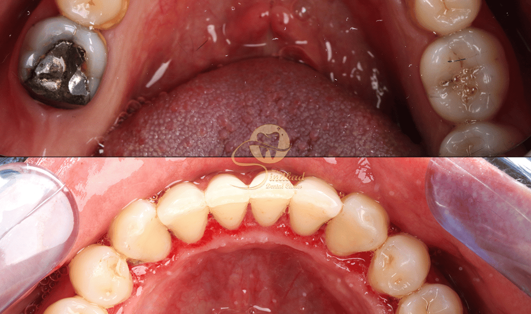
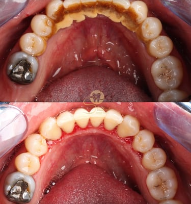
Guided-Biofilm Therapy (GBT)
GBT is a modern, gentle cleaning system that removes plaque and stains with high precision. Using advanced airflow and ultrasonic technology, it cleans teeth and gums comfortably without scraping tools. GBT is ideal for routine cleanings, gum health, braces, implants, and anyone who wants a brighter, healthier smile with a pain-free experience.








